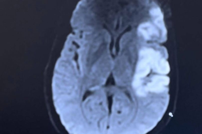
Amber Kavanagh, 43, was lying in bed beside her husband when she suffered a double stroke, triggering a severe brain haemorrhage.
With medics giving her 50/50 survival odds, Kavanagh insists she glimpsed “the other side”, encountering her “childhood dogs”.
The Canadian psychic medium had been enjoying a film with her family when she was suddenly hit by a debilitating migraine. She went to bed early, only to wake and discover she couldn’t move her right side or see from one eye.
- Man claims he went to hell in 5 day coma and came back with vital message
- Horror deaths of couple in ‘worst recording ever made’ as they’re eaten by a bear
She frantically roused her husband, Michael, 41, by hammering the wall with her functioning arm.
He called an ambulance, with paramedics revealing she’d suffered a double stroke and “uncontrollable” brain bleeding whilst sleeping, leaving her chances at a coin flip.
Throughout the crisis, Kavanagh maintains she crossed over to the “place we visit just before entering heaven,” declaring, “death was the most incredible thing I have ever been through.”
She added: “The whole experience has actually made me grateful for the strokes. I went into what I can only describe as the ‘meeting point’ of heaven before officially passing over.”, reports the Mirror.
“There was no fear, only love. I looked like the best version of myself and had everyone I had ever loved that was no longer with us around me – including my childhood dogs.
“But I had to make a choice – [to choose] if I wanted to be with my kids again, or stay in this place where I felt peace like I had never done before.
“It really wasn’t easy, as it was like coming home, I didn’t want to leave.
“I’ve had to relearn everything; how to walk, talk and eat. It’s put my family through hell and back. But now, I don’t fear dying or going over to the other side. I fear I won’t be able to go back to that place again.”
Yet, she discovered other elements of the ordeal terrifying.
She added: “I heard the nurses tell my kids: ‘Say everything you want now to your mum, as you probably won’t see her again’. I was literally scared to death, and I was non-verbal, everyone thought I was just mumbling in a state of unconsciousness. When really, I was trying to talk to them to find out what was going on.
“I heard everyone saying their goodbyes and crying, not knowing I was still in there. It’s still, to this day, one of the most terrifying things I have ever experienced.
“I could see my physical body beneath me, but I could also see my kids being driven by their grandparents to the hospital. I could see my husband weeping over my body.”
Yet, during all of this, she felt no fear.
“There was no going toward the light, or people calling me – I was just watching over everything and everyone. It sounds bad, but I wasn’t scared for my family, as I knew everything was going to be OK.
“There was no who, what, why, when or where to answer anymore, I just knew everything. Around me was an incredible garden, where I could really feel the grass beneath my feet.
“Then, I saw all my loved ones to the right, every version of me; past, present and future to the left and my guides stood right in front of me.
“I spoke telepathically to everyone, including my nan and grandma. Even my dogs from childhood surrounded me. I could touch them, but I didn’t as that wasn’t why I was there.
“But there was such a deep-rooted feeling of pure comfort. Knowing I had to leave this place that had an overwhelming glow of loving light was so difficult.”
Kavanagh revealed she was offered two choices by her spiritual guides, who assist her during psychic readings as a medium.
They explained she could either remain, leaving her family devastated by grief, or return to her earthly body and face the arduous rehabilitation journey that lay ahead.
Kavanagh decided she wasn’t prepared to abandon her loved ones, shut her eyes and instantly found herself back in her physical form.
Following the dual stroke, Kavanagh has had to master fundamental skills again, attend regular physiotherapy sessions and in speech therapy.
She reports her existence has mostly returned to normality, with only mild numbness down her right side remaining as a lasting effect.
She mused: “I’ve learned a lifetime worth of patience. There’s more to life than society’s expectations of humans – and there’s proof we’re not alone. On the other side, there’s a squad of loved ones cheering us on everyday.
“I’ve been stripped down and had to build myself back up again. It’s been horrible, but humbling. My family and I are much closer and we don’t take life so seriously. It’s made me appreciate the beauty of life and has given me a new perspective.
“I am human, so I’m fearful I will have another stroke again, but I’m not afraid of dying anymore. I do worry I’ll leave my kids too soon, as they’ve been through enough and I want to see them grow up. But it’s something I’ll never regret going through, it’s given me a chance to grieve the old me and welcome this new chapter.
“I’ve found that life is school, but that place is home – I’ve been given the gift of seeing my life from a completely different view point. Sometimes, when I’m having a tough day, I’ll close my eyes and remember feeling the grass under my feet.”



